Smile, It's Oral

Before And Afters

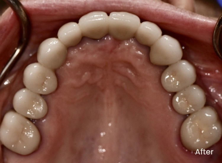
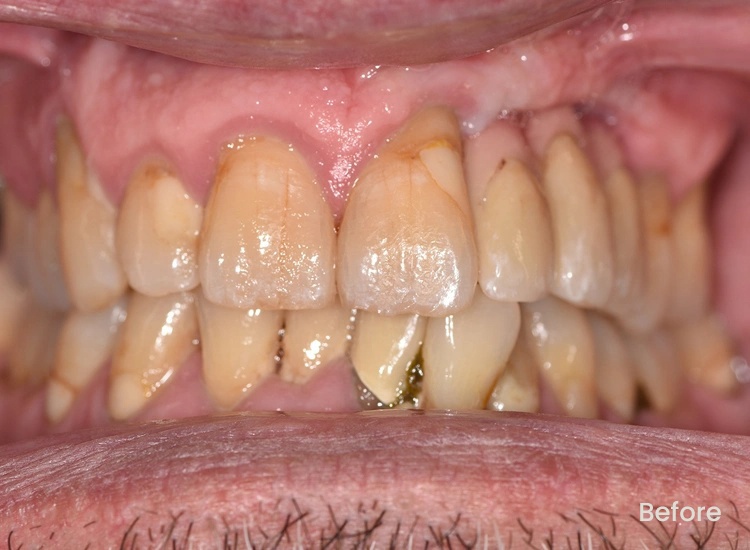
Dental Implants

This patient came to us with missing teeth, which made eating and smiling difficult. After a thorough evaluation, we recommended dental implants for a permanent, natural-looking solution. The patient’s new teeth blend perfectly with their natural smile, providing long-term durability and comfort.