Smile, It's Oral
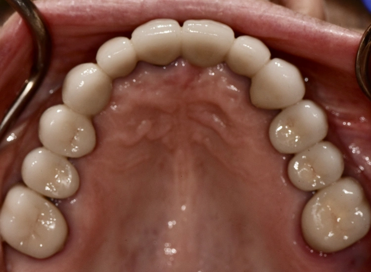
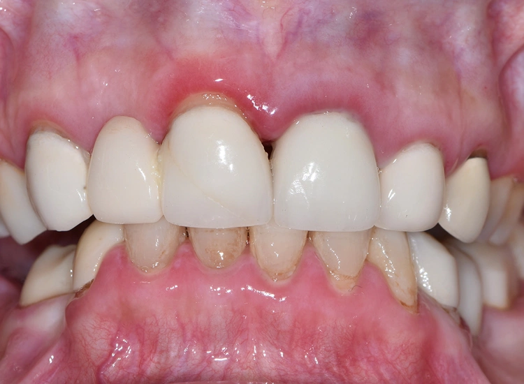
This patient came to us with missing teeth, which made eating and smiling difficult. After a thorough evaluation, we recommended dental implants for a permanent, natural-looking solution. The patient’s new teeth blend perfectly with their natural smile, providing long-term durability and comfort.
Hours
Monday to Thursday: 9 AM – 6 PM
Friday: 9 AM – 3 PM
Saturday & Sunday: 9 AM – 2 PM
"Open 7 Days a Week"